Unlike skin or bone, once teeth are damaged, they cannot regenerate to their original state.
Therefore, at Feel Good Dental Clinic, our treatment goal is not to "drill extensively and finish quickly," but to preserve natural teeth as much as possible and ensure they last a long time.
Rather than automatically opting for nerve removal or extensive procedures at minor discomfort, we prioritize treatments that minimize removal and preserve the pulp (nerves and blood vessels) whenever possible.
Minimally invasive treatment is not a "one-size-fits-all" solution.
We select the most conservative and durable approach by comprehensively evaluating factors like cavity depth, crack extent, bite alignment, and pulp condition.
Principles that Feel Good Dental prioritizes
Our Approach to Minimally Invasive Treatment
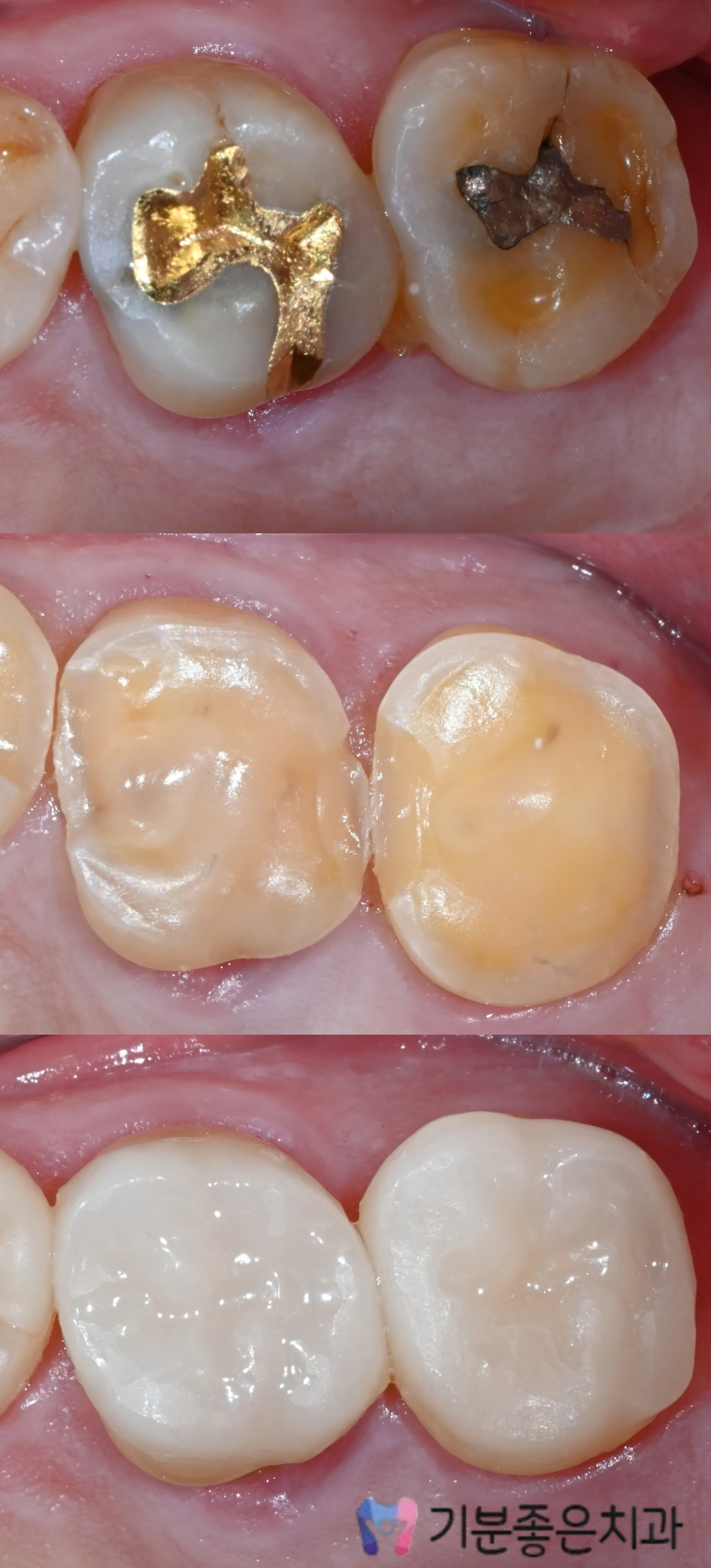
01 - Resin Build-up
After removing only the necessary decayed or fractured tooth structure, the tooth is carefully restored with resin to rebuild its natural form.
โข
Minimizes unnecessary tooth removal, preserving natural tooth structure
โข
Restores function by re-establishing proper shape and occlusion
โข
Serves as a conservative option before considering inlays or crowns, depending on the case
*Indications vary based on cavity extent, stress-bearing areas, and occlusal conditions.
02 - Overlay
An overlay is a modern restorative treatment that protects the damaged portion of a tooth without extensively reducing the entire tooth structure like a full crown.
Overlays rely on advanced adhesive bonding rather than mechanical retention, making precise bonding technique essential for long-term success.
โข
Requires less tooth reduction compared to full crowns while reinforcing tooth strength.
โข
Demands strict isolation (moisture control), surface preparation, and precise bonding protocols.
โข
Performed using a standardized, controlled procedure to ensure durability and predictable prognosis. At Feel Good Dental, overlays are not treated as simply โless-prep crowns,โ but as precision-driven restorative procedures designed for long-term stability.
* Overlays may not be suitable depending on the extent of tooth cracks, remaining tooth structure, or occlusion (biting force). After diagnosis, we will guide you toward the safest method.



