Finish your treatment in a single day โ even on a busy schedule day
One-Day Cavity Treatment (One-Day Prosthetic Treatment) is a digital procedure that reduces the number of visits and waiting time by completing the entire process in a single day:
scan โ design โ fabrication โ placement after cavity removal.
Using precise 3D systems and our in-house dental lab team, we deliver fast yet high-quality restorations.
.
What is One-Day Cavity Treatment?
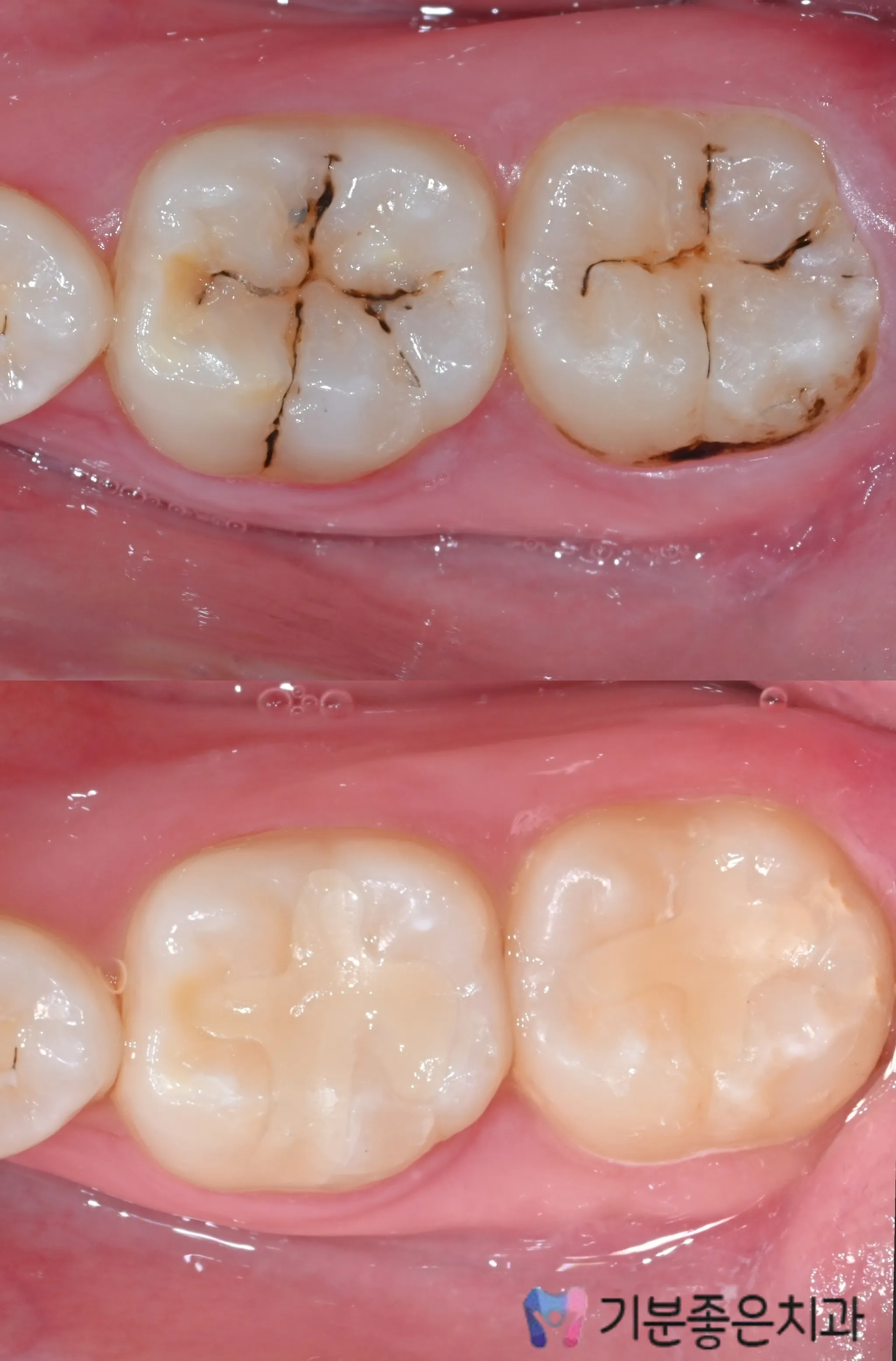
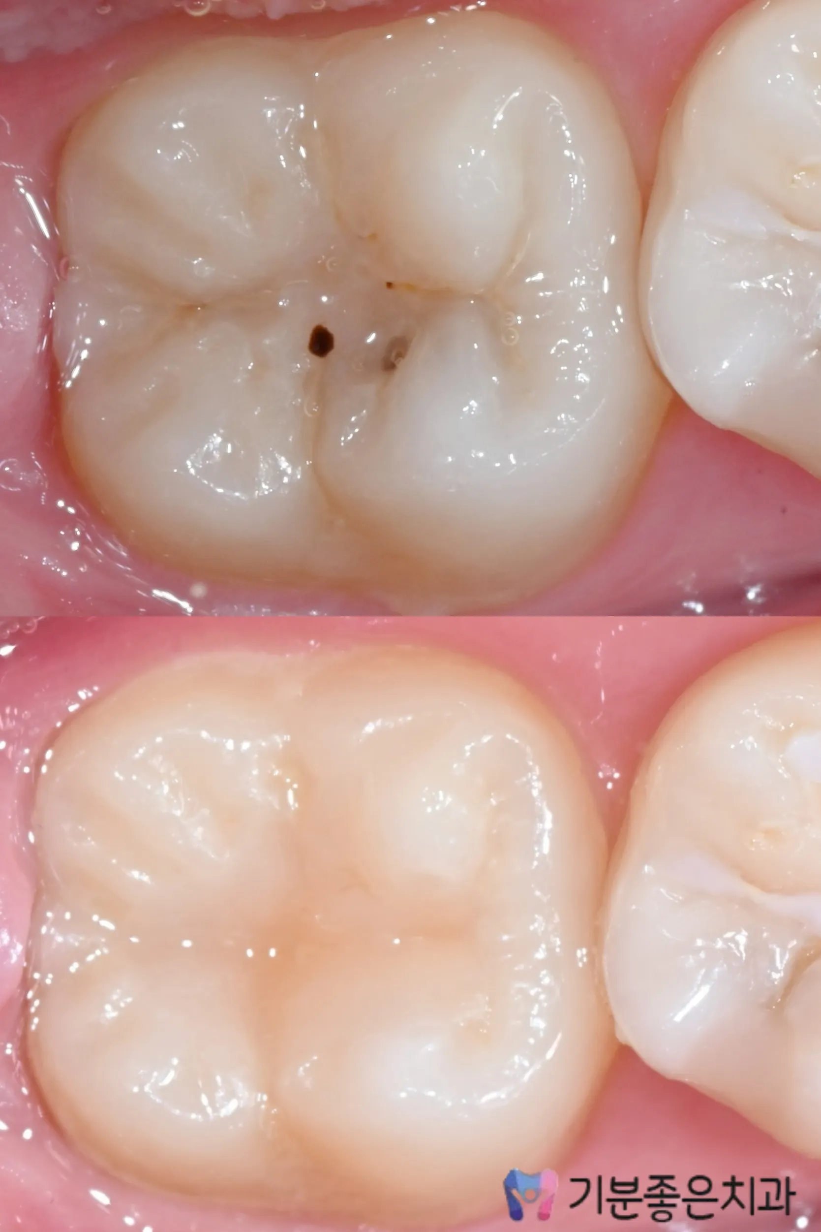
If a cavity is too large for a simple filling or located in a high-stress chewing area, a prosthetic restoration such as an inlay, onlay, or crown may be required.
At Good Feel Dental, we complete the prosthetic fabrication process in-house, without outsourcing. This allows us to finish treatment within a single day whenever possible.
Precise Diagnosis and Treatment Plan Guidance
Preparing the Restoration Shape After Cavity Removal
Precision Data Acquisition via Intraoral Scanning
Design (CAD): Custom Tooth Shape Design
Fabrication (CAM): In-House Same-Day Milling and Completion
Fitting, Bite Adjustment, Finishing, and Usage Instructions
General Dentistry vs. One-Day Dentistry: What's the Difference?
General dentistry often outsources prosthetics to external labs.
General Dentistry
Sends prosthetics to an external lab
Typically follows the process: Impression โ Temporary tooth โ Waiting for fabrication โ Return visit for fitting
This may require multiple visits
Number of visitsโ
The process of sending impressions (molds) and finished prosthetics back and forth between the clinic and an external lab can increase overall treatment time and the number of visits.
Longer fabrication wait time
A prolonged temporary restoration period increases the risk of issues such as bacterial or foreign material contamination, staining, fracture, and sensitivity or discomfort.
Additional time required for modifications
Because prosthetics are fabricated at an external lab, extra time may be needed to communicate detailed requirements and complete revisions.
One-Day Dental Clinic
In-house Lab + Digital System
After treatment, the process flows seamlessly:
Scanning โ Design โ Fabrication โ Fitting
This minimizes the number of visits required.
Fewer visits โ
Shorter production waiting time โ
Same-day fine adjustments possible if needed (varies by case)
The Perfit Dental Difference!
Work by Director Woo Chang-woo, winner of the 5th Perfit Zirconia Prosthetics Contest Grand Prize
We recommend same-day cavity treatment for:
One-day treatment may not be possible in these cases
If any of the following apply, treatment may be divided into stages for safety.
At Feel Good Dental, your safety always comes first. We never push same-day treatment when a staged approach is safer.
What types of cavity treatments can be completed in one day?
Depending on your condition, the following treatments may be completed in one day or with minimal visits.
โป Exact feasibility depends on cavity depth, nerve condition, and gum and bite (occlusion) status.
For extensive decay
Ceramic Onlay
Ceramic Inlay
For significant tooth damage
Overlay
Crown
Zirconia
Crown
Case-dependent
Resin Build-Up
Laminate Veneer





.jpg&blockId=2ed8c55e-79b7-81f8-9c5f-f9e397a98d2e)




