Feel Good Dental has long been renowned for wisdom tooth extraction, attracting many patients through referrals and online searches.
Many first-time visitors come in feeling anxious, thinking "wisdom tooth extraction is scary" or "I'm worried it might hurt." However, after treatment, they often leave comments like, "It was better than I expected," or "I wish I had done it sooner."
Wisdom tooth extraction as described by many patients' experiences
Feel Good Dental's wisdom tooth extractions are often described through the experiences of actual patients.
Wisdom tooth extraction: Experience and planning matter
Wisdom tooth extraction isn't just about pulling a tooth;
it's a treatment where accurate diagnosis and experience determine the outcome .
Based on extensive wisdom tooth extraction experience,
Feel Good Dental aims to provide wisdom tooth extractions that cause patients less worry and more peace of mind.
Types of Wisdom Teeth and Treatment Decisions
Treatment methods and difficulty vary significantly depending on the direction and position of wisdom tooth growth.
Normally Erupted Wisdom Teeth
These are wisdom teeth that erupt properly through the gum line, with relatively normal alignment relative to surrounding teeth. Whether to retain or extract them depends on their maintenance status.
Partially Impacted Wisdom Tooth
These are wisdom teeth where only part of the tooth is exposed outside the gum. They are prone to food impaction and recurrent inflammation, so extraction is recommended in most cases.
Fully impacted wisdom tooth
This refers to a wisdom tooth completely buried within the gum or jawbone. Treatment direction is carefully determined after confirming the positions of surrounding teeth and nerves.
Wisdom Tooth Extraction Treatment Process
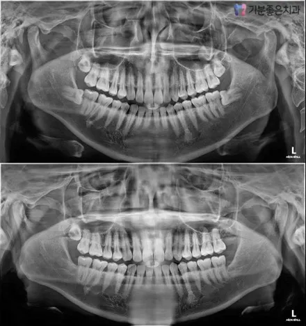
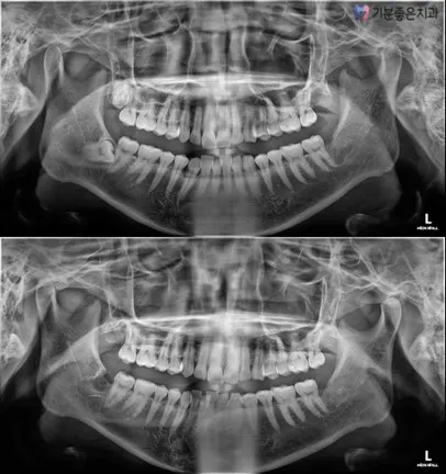
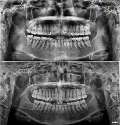
01 - Panoramic X-ray and Diagnosis
The position and shape of the wisdom tooth are confirmed through panoramic imaging and an oral examination. If necessary, CT imaging is used to also reference the surrounding teeth and anatomical structures.
02 - Consultation and Treatment Plan Guidance
We determine whether to retain or extract the wisdom tooth based on its condition and provide a thorough explanation of the treatment process and anesthesia methods.
03 - Application of Pain-Free Anesthesia System
To reduce anxiety about anesthesia, we apply a painless anesthesia system tailored to the patient's condition, minimizing discomfort during the anesthetic process.
04 - Extraction Plan Development
We develop a personalized extraction plan considering the eruption direction of the wisdom tooth, the degree of impaction, and its relationship with surrounding teeth.
05 - Wisdom Tooth Extraction Procedure
Extraction is performed using the method best suited to the wisdom tooth's condition, based on diagnostic data and the treatment plan. The procedure may vary depending on the type of wisdom tooth.
06 - Post-Extraction Care and Follow-Up
We provide post-extraction care instructions to aid recovery and schedule follow-up visits as needed to monitor progress.






