Many people believe that โdeep decay automatically means a root canal,โ but the pulp inside the tooth is more than a source of pain. It is living tissue that supplies nutrients, supports defense mechanisms, and contributes to healing.
At Feel Good Dental Clinic, we prioritize preserving the pulp whenever possible to help you keep your natural tooth longer. The foundation of this approach is pulp-preserving treatment using MTA.
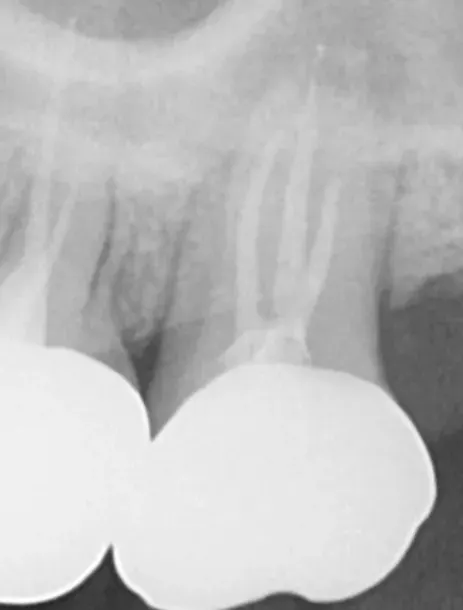
MTA (Mineral Trioxide Aggregate)
Vital pulp therapy is performed using MTA as a protective foundation.
MTA reliably seals areas close to the pulp and creates an environment that allows the tissue to recover naturally.
โป Accurate diagnosis and precise technique ultimately determine long-term prognosis, regardless of the material used.
Excellent sealing | Reduces bacterial reinfiltration
High biocompatibility
| Minimizes irritation to pulp tissue and supports a stable healing environment
Healing Induction | Promotes formation of a protective layer over the pulp
Our principle is not to avoid root canal therapy unconditionally, but to preserve the pulp whenever possible.
IWhen preservation is not feasible, we perform necessary root canal treatment with precision and care.
Ultimately, our goal is simple: to help you keep your natural teeth for as long as possible.
Traditional Root Canal Therapy vs. Vital Pulp Therapy
Traditional Root Canal Treatment: Root Canal Therapy
This treatment involves completely removing the pulp (nerves and blood vessels), disinfecting and shaping the root canals, then filling them.ย
This is the standard treatment when infection has reached the root or the pulp is already damaged beyond recovery.
Tooth structure lossโ
Often requires extensive preparation inside the tooth, potentially leading to significant loss of tooth structure
Potential tooth weakeningโ
The tooth may become vulnerable after losing its 'living tissue'.
Potential for Reinforcement Restorationโ
Often requires subsequent reinforcement restoration (crown, etc.) (varies by case)
Vital Pulp Therapy: Pulp-Saving Treatment
If the pulp is deemed recoverable despite deep decay, this treatment minimally prepares only the inflamed area
and instead minimally clean only the inflamed area, protecting and promoting healing of the pulp.
Minimizes natural tooth removal
Preserving the tooth'svitality
Maintaining the tooth's blood supply/defense capabilities
Aiming to preserve the tooth
Ultimately, the goal is to use the tooth longer and healthier
The Importance of Vital Pulp Therapy and Why It Requires Greater Precision
Vital pulp therapy is performed to preserve the living tissue inside the tooth. Because the goal is to save the nerve rather than remove it, the conditions for success are strict.
Every step of the procedure must be carried out with precision to ensure a favorable prognosis.
For this reason, we approach it not simply as โtreatment to avoid a root canal,โ but as a specialized procedure designed to preserve the tooth itself.
01
Accurate case selection (determining if the pulp is in a recoverable state)
02
Control bleeding/assess inflammation extent based on pulp condition
03
Thorough isolation during treatment (saliva/blood management) and infection control
04
Achieving a leak-free seal after MTA application and ensuring the quality of the final restoration
When Pulp Therapy is Recommended
Cases Where Traditional Root Canal Therapy Is Recommended
Traditional root canal therapy may be the safer choice in the following situations:
Treatment Flow (Example)
Precise diagnosis(radiography/pulp examination, etc.)
Cavity removal and infection management
Confirm pulp condition and determine viability of vital pulp therapy
MTA application and stable sealing
Final restoration with resin build-up/inlay/overlay, etc.
Follow-up(monitoring as needed)







